Leistungen der Zahnarztpraxis HighDental in Berlin Mitte

Wir bieten das gesamte Spektrum zahnärztlicher Leistungen an: Behandlung von Karies, Zahnfleischerkrankungen, Zahnaufhellung, Implantation, Zahnersatz (Kronenmontage), Chirurgie, Okklusionskorrektur (Zahnspangen). 

Wir lösen jedes Zahnproblem schmerzlos und sorgfältig.

Ästhetische Zahnheilkunde

HighDental Berlin Mitte

Wir bei Highdental möchten, dass Sie bei uns ein natürliches Lächeln erhalten, mit dem Sie sich wohl fühlen und das Sie glücklich macht.

Dazu bieten wir Ihnen alle zahnmedizinischen Möglichkeiten, unter anderem:
• Prophylaxe zur Entfernung von Belägen und Verfärbungen
• Bleaching zur Aufhellung der Zähne
• hochästhetische Vollkeramikkronen und Veneers im Frontzahnbereich
• kieferorthopädische Zahnschienen zur Korrektur der Zahnstellung 

Bleaching
Weiße Zähne ohne Verfärbungen- ein Wunsch, den viele Patienten haben. Zunächst werden die Zähne bei einer Prophylaxe gereinigt - gemeinsam schauen wir, ob die damit verbundene Aufhellung der Zähne Ihnen schon ausreicht. Falls nicht, werden beim Bleaching die Zähne mit einem speziellen, zahnärztlichen Bleichmittel und einem darauf abgestimmten UV-Licht behandelt. In Idealfällen können die Zähne danach über Jahre aufgehellt bleiben. 
Gern beraten wir Sie zu den Möglichkeiten des Bleachings. 

Veneers
Sind Sie unzufrieden mit der Form oder der Farbe ihrer Frontzähne? Meist kann dies mit einer Füllung aus hochästhetischem Kunststoff, einer Zahnreinigung oder der Korrektur des Zahnstands behoben werden. Wir beraten Sie gern. Doch hin und wieder ist dies aus bestimmten Gründen nicht möglich. Dann können Veneers die Lösung sein: spezielle Schalen aus einer hauchdünnen Keramik, die auf die Vorderseiten der Zähne geklebt werden und ein strahlend schönes Lächeln bieten. Diese Schalen sind trotz ihrer Materialdicke von nur 0,2mm so gut wie unkaputtbar und können auch als langlebige Alternative zu Kunststofffüllungen dienen. 
Bei Interesse an Veneers beraten wir Sie gern über die Möglichkeiten dieser Behandlung.

Kieferorthopädische Zahnschienen Die meisten Menschen haben kleinere Fehlstellungen der Frontzähne wie Engstände oder Lücken. Dies kann auf unkomplizierte Weise mit speziellen Zahnschienen korrigiert werden. Nach einem Abdruck werden mehrere dünne, durchsichtige Schienen hergestellt, die von Ihnen ungefähr 14 Wochen getragen und nur zum Essen herausgenommen werden. Diese Schienen beeinträchtigen nach kurzer Gewöhnungszeit weder Ihr optisches Erscheinungsbild, noch Ihre Aussprache.  

Interessieren Sie sich für diese komfortable Behandlungsmöglichkeit, beraten wir Sie gern bei einem persönlichen Gespräch.

Prophylaxe

HighDental Berlin Mitte

Die regelmäßige, professionelle Reinigung der Zähne unterstützt Sie bei dem Ziel, ein Leben lang Ihre eigenen, gesunden Zähne zu erhalten. Neben der täglichen Mundhygiene ist sie ein wichtiger Faktor beim Schutz vor den zahnärztlichen Hauptkrankheiten Parodontitis und Karies.

Was erwartet Sie bei einer professionellen Zahnreinigung? 

Unsere erfahrene Prophylaxehelferin Manuela bespricht mit Ihnen zunächst eventuelle Schwachstellen in der täglichen Mundhygiene und unterstützt Sie in der richtigen Anwendung von Hilfsmitteln wie Zahnseide und Interdentalraumbürsten. Sie kann zudem bei der Auswahl der richtigen Zahnbürste/-pasta beraten. Danach werden die harten Beläge schonend mit Ultraschall oder per Hand entfernt.

Zu einer vollständigen Zahnreinigung gehört heutzutage ein modernes Pulverstrahlgerät, mit dem Verfärbungen und vor allem bakterieller Biofilm schmerzlos bis in die Zahnfleischtasche entfernt werden können. Danach erfolgt zur Versiegelung die Politur des Zahnschmelzes und das Auftragen eines Schutzlackes.

Gern beraten wir Sie bei eventuellen Fragen.

Vollkeramischer Zahnersatz in einer Sitzung

HighDental Berlin Mitte

Zahnkronen in zwei oder noch mehr Sitzungen, Abdruckmasse im Rachen und herausfallende Provisorien? Dies gehört bei uns der Vergangenheit an. Sollte ein Zahn zum Beispiel eine Krone benötigen, so kann mit der CEREC- Technologie nach dem Beschleifen des Zahnes durch einen optischen Abdruck mit einer Kamera die Situation direkt auf dem Computer dargestellt, die Krone konstruiert und mit der angeschlossenen Schleifeinheit fertiggestellt und sofort eingesetzt werden - alles in einer Sitzung. 

Dr. Hradsky begleitet die Technologie seit Jahrzehnten, als sie noch in ihren Kinderschuhen steckte und bietet Ihnen mit der CEREC- Primescan nun die aktuellste Version, die mit noch mehr Genauigkeit und Möglichkeiten auftrumpft.
Gern beraten wir Sie zu unseren vielfältigen Behandlungsmöglichkeiten in einem persönlichen Gespräch. 

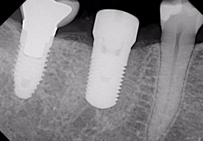
Implantologie

HighDental Berlin Mitte

Kann ein natürlicher Zahn nicht mehr gerettet werden, sollte dieser in den meisten Fällen ersetzt werden. Eine bewährte und komfortable Methode stellt dabei ein Implantat aus Keramik oder Titan dar. Dieses imitiert die natürliche Zahnwurzel und bietet Ihnen die ideale Versorgung, sowohl bei Verlust eines oder auch mehrerer Zähne. Ein großer Vorteil ist der Schutz der umliegenden Zähne, die bei einem Implantat im Gegensatz zu einer Brücke nicht beschliffen werden müssen. Zudem wird dem natürlichen Abbau des Kieferknochens entgegengewirkt, der bei einem Zahnverlust eintritt.

Ablauf
Zunächst wird ein strahlungsarmes 3-D Röntgenbild (DVT) angefertigt, anhand dessen die Lage des Implantats im Knochen präzise geplant wird. Dies wird meist durch einen Scan des Mundraums ergänzt, sodass auf Basis einer Schablone eine dreidimensional geführte, höchst sichere Implantatsetzung unter exakter Berücksichtigung der  


vorhandenen Knochen- und Gewebestrukturen erfolgen kann. Teils wird das Implantat sofort, manchmal erst nach einer gewissen Einheilzeit mit einer Krone versorgt.

Wir beraten Sie gern ausführlich zu den möglichen Versorgungsformen.

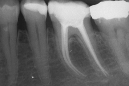
Wurzelkanalbehandlung

HighDental Berlin Mitte

In manchen Fällen muss zur Rettung eines Zahns eine Wurzelkanalbehandlung gemacht (oder erneuert werden), was viele Patienten mit Angst und Schmerz assoziieren.
  
Doch ist dies gerechtfertigt?
Was ist überhaupt eine Wurzelkanalbehandlung und wann wird sie notwendig?  

Ursachen
Bei einer Schädigung des Zahnnervs, beispielsweise durch eine tiefe Karies oder einen Sturz, kann es zum Eintritt von Bakterien in den Wurzelkanal kommen. Dies kann zu starken Zahnschmerzen führen, aber auch über längere Zeit schmerzlos verlaufen, sodass erst ein Röntgenbild den Befund liefert. Sollte Sie sich mit starken Schmerzen bei uns vorstellen, können wir Ihnen diese in der Regel schon am ersten Termin vollständig nehmen. Die Bakterien vermehren sich im Bereich der Wurzelspitze im Kieferknochen, eine Entzündung mit vielfältigen Auswirkungen auf die Allgemeingesundheit (u.a. Diabetes, Frühgeburten) ist die Folge. 

Was passiert bei einer Wurzelkanalbehandlung?
Zunächst muss bei bakteriellen Ursachen die Eintrittspforte, zum Beispiel durch eine Kunststofffüllung, geschlossen werden. Danach wird das Innere des Zahnes mechanisch erweitert und ausgiebig antibakteriell gespült. Das Ziel der Wurzelkanalbehandlung sind annähernd sterile Wurzelkanäle, in die zum Abschluss ein Füllmaterial eingebracht wird.
Nach ungefähr 3 Monaten, die abgewartet werden, um die umliegende Entzündung abheilen zu lassen, wird der durch die Behandlung frakturgefährdete Zahn zum Schutz mit einer Krone versorgt. 

Welche speziellen Behandlungsmethoden gibt es bei uns?
Bei Highdental bieten wir Ihnen die besten Voraussetzungen für eine erfolgreiche Behandlung.
Neben der modernen maschinellen Aufbereitung des Zahnes können wir in schwierigen Fällen die Behandlung mit einem zahnärztlichen 3-D Mikroskop unterstützen, welches uns den Einblick in das Innere des Zahnes ermöglicht.
Auch die Füllung des Zahnes mit speziell aufgewärmtem Material ist möglich.  

Wir beraten Sie gern bei allen Fragen und klären Sie über die verschiedenen Methoden auf. 

Parodontitistherapie

HighDental Saubere Zähne

Die Parodontitis ist eine Entzündung des Zahnhalteapparates, ein Abbau des Knochens und locker werdende Zähne bis hin zum Zahnverlust sind die Folge. Ungefähr die Hälfte der Deutschen sind von einer Parodontitis betroffen, viele wissen jedoch nichts von ihrer Erkrankung - eine Folge des meist schmerzlosen Verlaufs. Eine Behandlung sollte aber nicht nur wegen den Auswirkungen auf die Stabilität der Zähne erfolgen.

Studien zeigen, dass sich eine Parodontitis auch auf die Allgemeingesundheit auswirkt: eine schwerere Einstellbarkeit des Blutzuckers bei Diabetes, ein deutlich erhöhtes Risiko für Schlaganfälle und Frühgeburten sind nur Auszüge der Gefahren. Die Therapie der Parodontitis ist nahezu schmerzlos und besteht stark vereinfacht aus einer erweiterten Zahnreinigung, die den gesamten Zahn bis zum Zahnhalteapparat erreicht.

Öffnungszeiten

Mo - Do 09 - 19 Uhr
Freitag   09 - 17 Uhr
M1, M8 Rosenthaler Platz
U8  U Rosenthaler Platz  
S3, S5, S7  S Hackescher Markt 

Kontakt

E-Mail: info@high-dental.de
Tel: +49 (0)30 282 33 96
Rosenthaler Str. 71
10119 Berlin 

Offline Website Software